NETFELIX ... let's call it a blog

// Digital Transformation in Healthcare

// Radiology with/out AI

// Interoperability

// Hacking

// Thoughts

// ...and Everything

2026-02-12

Entscheiderfabrik Düsseldorf

Heute haben Dirk Engels und ich bei der Entscheiderfabrik in Düsseldorf unser Projekt "KI‑basierte Datenbereitstellung für die klinische Forschung" vorgestellt. Worum’s geht: weniger Datenchaos, mehr Qualität, schnellere Studien, schneller bessere Medikamente.



2026-01-23

Daten, Krisen und die Sache mit der Resilienz

Im aktuellen Blickwinkel im Deutschen Ärzteblatt habe ich mich gemeinsam mit Tobias Penzkofer mit der Frage beschäftigt, wie Daten helfen können, Gesundheitsversorgung krisenfester zu machen.

2026-01-06

Lessons on Performance, Efficiency, and Identity in the Age of AI

Mein Beitrag Lessons on Performance, Efficiency, and Identity in the Age of AI wurde jetzt im European Journal of Radiology Artificial Intelligence veröffentlicht.

Ausgehend von Erfahrungen mit KI-gestützter Softwareentwicklung diskutiere ich, was Radiologie von diesen Entwicklungen lernen kann, insbesondere mit Blick auf Produktivität, ärztliche Expertise und professionelle Identität. Der Artikel argumentiert, dass der eigentliche Hebel von KI weniger in reiner Automatisierung liegt, sondern in der Art und Weise, wie Erfahrung, Kommunikation und Verantwortung im klinischen Alltag neu zusammenspielen.

2026-01-02

Leading Health Podcast

Ich war zu Gast im Podcast Leading Health von Andreas Daniel Huber.

Wir sprechen über KI im radiologischen Alltag und u.a. über die Frage, ob ein zu eng verstandener Datenschutz am Ende medizinischen Nutzen verhindert.

Es geht um konkrete Anwendungen, Zeitgewinne, objektivere Prozesse und darum, warum Deutschland bei KI im Gesundheitswesen Gefahr läuft, sich selbst auszubremsen. Mehr Details bei LinkedIn.



2025-12-11

CORI Expert Meeting

Heute war ich erneut beim CORI Expert Meeting von Smith+Nephew in München dabei. Wie schon bei meiner früheren Teilnahme war der Austausch mindestens genauso wertvoll wie das eigentliche Programm.

In meinem Vortrag ging es um einen Ausblick auf technologische Entwicklungen jenseits der Robotik und darum, welche Rolle datengetriebene Verfahren künftig in der Medizin spielen könnten. Besonders spannend waren für mich die anschließenden Diskussionen und die vielen informellen Gespräche mit Kolleginnen und Kollegen aus unterschiedlichen Häusern.

Vielen Dank an die Organisatoren und alle Beteiligten für die offene Atmosphäre und den wie immer ehrlichen fachlichen Austausch.

2025-12-02

eSource Conference 2025 in Gent

Die Teilnahme als Speaker und Panelist bei der eSource Conference 2025 in Gent war für mich eine großartige Erfahrung. Die Konferenz, organisiert vom i~HD, bot einen hervorragenden Rahmen für den Austausch zu interoperablen, vertrauenswürdigen Gesundheitsdaten und der Zukunft von eSource in klinischer Forschung und Versorgung.

Besonders wertvoll waren die intensiven Diskussionen zu E-Health, EHR-Integration, Datenqualität und regulatorischen Perspektiven. Der interdisziplinäre Dialog zwischen Forschung, Klinik, Industrie und Regulierung hat viele neue Impulse gesetzt.

Vielen Dank an alle Beteiligten für die spannenden Gespräche und die exzellente Organisation!



2025-11-14

eHealth Summit 2025

🚀 Am 13./14. November war ich beim eHealth Summit 2025 in Heidelberg als Speaker dabei!

Gemeinsam mit großartigen Kolleg:innen haben wir diskutiert, wie Digitalisierung, KI und moderne IT das Gesundheitswesen bereits heute verändern ... nicht irgendwann.



2025-10-21

Europäischer Gesundheitskongress 2025

Heute beim Europäischen Gesundheitskongress München durfte ich im Panel „Datenschatz statt Datenschrott – wie aus Gesundheitsdaten echte Innovation wird“ mitdiskutieren und in einem kurzen Impulsvortrag zeigen, wie wir das am Universitätsklinikum Essen bereits umsetzen.

Ein inspirierender Austausch darüber, wie aus vorhandenen Gesundheitsdaten echte Innovation entstehen kann – vielen Dank an das großartige Panel und die spannenden Beiträge!



2025-10-14

Pan-Cancer Prognostic Stratification

Unsere neue Publikation ist erschienen:

„Leveraging Sarcopenia Index by Automated CT Body Composition Analysis for Pan-Cancer Prognostic Stratification“ in NPJ Digital Medicine

📄 Publikation

Wir zeigen, dass ein automatisiert aus CT-Daten berechneter Sarcopenia-Index ein starker prognostischer Marker für das Überleben onkologischer Patient:innen ist – ein weiterer Schritt hin zu KI-gestützter Präzisionsonkologie.

Glückwunsch an Katarzyna Borys und das gesamte Team für diese großartige Arbeit 🚀🚀🚀

2025-10-14

SCOPE Europe 2025

Beim SCOPE Europe in Barcelona hatte ich die Freude, gemeinsam mit Sarah Burge (Cambridge) und Joe Lengfellner (MSKCC) am Panel „Unlocking Efficiency in Oncology Trials: Scaling eSource for Enhanced Data Management and Collaboration“ teilzunehmen, das von Mats Sundgren (i-HD) moderiert wurde.

Wir haben unsere Erfahrungen aus der praktischen Umsetzung von EHR-zu-EDC-Integrationen geteilt und Einblicke aus der Arbeit der i-HD-eSource-Scale-Up-Taskforce diskutiert.

2025-10-09

Datenplattformen / KI in der Tx

Heute habe ich einen Vortrag mit dem Titel Datenplattformen / KI in der Tx bei der 34. Jahrestagung der Deutschen Transplantationsgesellschaft in Essen gehalten.

2025-10-01

Locker 100 Projekte

Jens Kleesiek und ich haben das IKIM in einem Report über smarte Lösungen im Gesundheitswesen vorgestellt, den man in der aktuellen Ausgabe von brand eins lesen kann. Das ist ein schöner Artikel geworden.

Update [09.10.2026]: Ein sehr schöner Kommentar von Prof. Dr. Jochen Werner zu dem Artikel.

2025-10-01

BOA @ AWS for Health Day

Mein Post-doc René Hosch hat zusammen mit dem Team unsere AWS BOA Implementierung auf dem AWS for Health Day in Zürich vorgestellt.



2025-09-26

Lungenkrebs-Screenings mittels CT

Christian Taube und ich haben einen kleinen Standpunkt zum Thema Lungenkrebs-Screening mittels CT verfasst, der heute im Tagesspiegel erschienen ist.

2025-09-22

Promotion Merlin Engelke

Mein Doktorand Merlin Engelke hat heute erfolgreich seine Dissertation verteidigt und die Promotion zum Dr. rer. medic. abgeschlossen. Seine herausragende und dabei höchst eigenständig durchgeführte Arbeit AI-Driven Blood Product Management through FHIR-Enabled Data Collection for Enhanced Decision-Making and Patient Outcomes wurde mit einem absolut verdienten summa cum laude benotet. Super gemacht, Merlin!!



2025-09-05

WisPerMed Summer School 2025

Vom 3. bis 5. September waren wir in Utrecht zur WisPerMed Summer School 2025 – drei Tage Lernen, Austausch und Teamspirit.

Im Park Plaza Hotel starteten wir mit einem vielseitigen Programm:

  • Praktisches FHIR-Training von Firely (sehr zu empfehlen!!)
  • Ein Firemetrics-Workshop
  • Inspirierende Keynotes zu datengetriebener Medizin und personalisierter Prognostik
  • Offene Barcamps, Arbeitsgruppen und technische Deep Dives zu KITE und FAIR Data

Die drei Tage haben gezeigt, wie viel entsteht, wenn wir Wissen teilen, Ideen verbinden und gemeinsam an einer besseren, datengestützten Medizin arbeiten.



2025-08-25

Semantic Layer für Business Analytics

Wie Firemetrics + FHIR als Semantic Layer Business Analytics im Gesundheitswesen revolutionieren – ganz einfach per SQL, klinisch sinnvoll & zukunftssicher.

2025-08-12

FHIR Workbench

Neue Studie aus dem SHIP‑Team!

Wie gut beherrschen Large Language Models (LLMs) das FHIR‑Format?





In unserer aktuellen, im JMIR veröffentlichten Studie stellen wir die FHIR Workbench vor — ein Benchmark‑Datensatz, mit dem wir 
• FHIR‑Konzepte verstehen
• REST‑API‑Fragen beantworten
• Ressourcentypen erkennen
• FHIR‑Ressourcen aus unstrukturierten klinischen Texten erstellen

Wichtigste Erkenntnisse:
• Kommerzielle LLMs (z. B. GPT‑4o, Gemini 2) liefern starke Ergebnisse
• Open‑Source‑Modelle (z. B. DeepSeek‑V3, Qwen 2.5 Coder) holen auf
• Umwandlung von Freitext zu validen FHIR‑Ressourcen bleibt eine große Herausforderung für alle Modelle

Herzlichen Glückwunsch an Ahmad Idrissi‑Yaghir & Kamyar Arzideh sowie an das gesamte Team! Super Arbeit! 👏.

Alle Datensätze sind auf Hugging Face verfügbar!

2025-08-11

DIZ im SMITH Newsletter

Unser Datenintegrationszentrum (DIZ) wurde im SMITH Newsletter vorgestellt und einige Projekte (u.a. unsere Ausgründung Firemetrics) genannt, an denen wir arbeiten.

2025-07-23

Statement: KI in der Medizin

Ich freue mich, in der Diskussion des Science Media Center Germany zum Thema „Künstliche Intelligenz in der Medizin: Qualität, Implementierung und Vertrauen“ mit meinem Statement beigetragen zu haben – spannende Einblicke zu Transparenz, Qualität und Vertrauen in KI im Klinikalltag.

2025-06-16

GRK (2535) WisPerMed wird verlängert

Unser von der Deutschen Forschungsgemeinschaft gefördertes Graduiertenkolleg WisPerMed wird für weitere 4,5 Jahre gefördert. Mehr Informationen hier und hier.



2025-06-05

FHIR DevDays 2024

Zusammen mit Katja Clees von Health-Comm habe ich heute bei den FHIR DevDays in Amsterdam einen Vortrag zum Thema semantische Analyse und Business Analytics gehalten. Wir konnten gut zeigen, wie die Technologien von Helath-Comm und Firemetrics hier perfekt ineinandergreifen und große Synergien freisetzen. Es hat großen Spaß gemacht und das tolle Feedback hat mich sehr gefreut. Die FHIR DevDays waren insgesamt grandios. Ein ganz großes Lob für die Orga an Rien Wertheim und das Team von Fire.ly.



2025-05-30

Eugenie-und-Felix-Wachsmann-Innovationspreis

Unser AGIT Team wurde mit dem Eugenie-und-Felix-Wachsmann-Innovationspreis für das KI Q1 Zertifikat ausgezeichnet!

Diese Anerkennung bedeutet uns viel – nicht nur wegen der Auszeichnung selbst, sondern auch, weil sie den kollegialen Einsatz und die gemeinsame Vision würdigt, die uns bei der Entwicklung des Zertifikats getragen haben.


Ein aufrichtiges Dankeschön an alle Mitwirkenden – es ist inspirierend, mit solch engagierten Kolleginnen und Kollegen zusammenzuarbeiten:


Christoph Friedrich, Sergios Gatidis, Horst Hahn, Judith Herrmann, Michael Ingrisch, Markus Kopp, Georg Langs, Matthias May, Saskia Nagel, Daniel Pinto dos Santos, Theresa Rüttinger, Bianca Lassen-Schmidt, Cynthia Sabrina Schmidt, Barbara Wichtmann, Sabrina Tölken, Daniel Truhn, Markus Wenzel sowie die Deutsche Röntgengesellschaft e.V.

Gemeinsam gestalten wir verantwortungsvolle KI in der Radiologie!

2025-05-28

ZWB Medizinische Informatik bleibt erhalten

Lange haben wir im Kreise der Weiterbildungsermächtigten gegen die Abschaffung der ärztlichen Zusatzbezeichnung Medizinische Informatik gekämpft, welche gerade in Zeiten der digitalen Transformation des Gesundheitswesens mehr gebraucht wird denn je. Heute wurde dann auf dem 129. Deutschen Ärztetag beschlossen, dass uns diese wichtige Weiterbildung in Form einer ZWB der Kategorie C2 erhalten bleibt. Kategorie C2 bedeutet dabei:

  1. Fokussierung des Gedankens der berufsbegleitenden Weiterbildung
  2. Erwerb der ZWB ohne eine vorgegebene Weiterbildungszeit und ohne den Aspekt der Hauptberuflichkeit, aber mit Weiterbildungsbefugtem, eLogbuch und Absolvieren einer Prüfung

Herzlichen Dank an die vielen Kolleginnen und Kollegen, die sich hier unermüdlich eingesetzt haben, allen voran Sylvia Thun!!

2025-05-28

DRG-Promotionspreis für Lennard Kroll

Meinem ehemaligen Doktoranden - Dr. med. Lennard Kroll - wurde heute auf dem RÖKO 2025 in Wiesbaden der DRG-Promotionspreis für seine Arbeit verliehen:

Vollautomatische dreidimensionale Gewebequantifizierung in der Computertomographie: Ein robuster Biomarker mit einer Vielzahl von Anwendungsbereichen.

Mega stark, Lennard 💪 🚀



2025-05-23

FMX in Stanford

Ich freue mich riesig, dass unsere Firemetrics - Healthcare Business Intelligence Lösung jetzt in der Radiologie am Stanford Medicine Children’s Health eingesetzt wird. Ich habe Sergios Gatidis zum Auftakt der Zusammenarbeit in Stanford besucht und bin sehr beeindruckt zurückgekehrt.



2025-05-09

OMI Meeting in Essen

Wir durften am 8. und 9. Mai unser 7. OMI-Plenartreffen im Showroom von SmartHospital.NRW in Essen ausrichten – und es war ein echtes Highlight!

Zwei Tage voller Austausch, neuer Ideen und gemeinsamer Schritte auf dem Weg zu mehr Interoperabilität im Gesundheitswesen. Besonders gefreut habe ich mich über die tollen Diskussionen, spannenden Beiträge aus allen Standorten – und natürlich alle wieder persönlich zu treffen.

Ein riesiges Dankeschön geht an unser großartiges Organisationsteam, das das alles möglich gemacht hat 💪, an alle Vortragenden für ihre inhaltlichen Impulse – und ganz besonders an unseren Keynote Speaker Joe Lennerz für seinen wirklich inspirierenden Beitrag zu Regulatory Sciences!

Ich freue mich auf alles, was wir gemeinsam noch auf die Beine stellen werden 🚀



2025-05-07

Zeitenwende für Gesundheitsdaten

Ich freue mich, als Experte an der Studie „Zeitenwende für Gesundheitsdaten“ von Jens Kögler mitgewirkt zu haben. Gemeinsam mit weiteren Branchenkolleg:innen haben wir zentrale Herausforderungen und konkrete Handlungsempfehlungen für ein zukunftsfähiges, datengestütztes Gesundheitswesen erarbeitet. Im Fokus stehen Themen wie Interoperabilität, KI-Readiness, Datensouveränität und digitale Governance. Das vollständige Whitepaper ist hier verfügbar.



2025-04-01

SZ Digitalgipfel 2025

Am 01.04.2025 war ich beim Digitalgipfel der SZ in München in einem Panel zusammen mit Judith Gerlach, Bayerische Staatsministerin für Gesundheit und Irmgard Stippler, Vorständin, AOK Bayern zum Thema Digital Leben retten – Das digitale Gesundheitssystem der Zukunft diskutieren.

Die SZ hat natürlich auch berichtet.



2025-04-01

70 (or so) Hard Truths About AI in Healthcare

Super informative und klug zusammengestellte Liste von Jan Beger: 70 (or so) Hard Truths About AI in Healthcare Wer sich für das Thema interessiert, sollte sich das unbedingt anschauen.



2025-03-28

Innovationsforum KI am Tegernsee

Vom 27.03.-28.03.2025 habe ich am Innovationsforum KI am Tegernsee teilgenommen und einen Vortrag zum Thema KI Projekte in der Universitätsmedizin Essen gehalten. Die Veranstaltung war richtig gut. Großes Lob an die Organisatoren von 10xd. Hier gibt es noch einige Impressionen der Veranstaltung.



2025-02-28

5. DVMD-Frühjahrssymposium

Am 28.02.2025 habe ich zusammen mit Annett Müller von DMI beim 5. DVMD-Frühjahrssymposium in Düsseldorf einen Vortrag über den Einsatz von NLP zur semantischen Erschließung medizinischer Dokumente und Freitexte gehalten. Tolles Symposium. Das hatte ich vorher gar nicht auf dem Schirm und komme im nächsten Jahr gerne wieder.

2025-02-24

Galileo: Smart Hospital

Heute hat Galileo über unser Smart Hospital berichtet und dafür unter anderem auch bei uns im IKIM gedreht.

2025-02-22

Novartis BEST Academy 2025

Ich habe bei der 6. Novartis Breast Experts State of the Art (BEST) Academy in Köln darüber berichtet, was KI im klinischen Alltag in der Gynäkologie/Senologie bewirken kann. Im Anschluss haben wir das Thema noch in einem netten Panel diskutiert. Hat großen Spaß gemacht!

2025-02-17

KI und Robotik in der Medizin

Gestern hatte ich die Gelegenheit, bei der Veranstaltung der Stiftung Universitätsmedizin Essen zum Thema „KI und Robotik in der Medizin – Chance oder Risiko?“ mitzuwirken. Mein Beitrag drehte sich um die Frage, wie wir am IKIM Medizin durch Maschinen menschlicher machen.

Ein besonderes Highlight des Abends war das Gespräch zwischen Prof. Dr. Jochen A. Werner und Prof. Dr. Richard David Precht. Spannende Gedanken zu künstlicher Empathie, KI und gesellschaftlichen Entwicklungen haben für reichlich Diskussionsstoff gesorgt.

Vielen Dank für die Einladung und die inspirierenden Impulse!

2025-02-14

MedMile Uncut mit Firemetrics

🔥 MedMile Uncut 🔥  

In der neuesten Folge bin ich (wieder 🙈) zu Gast – diesmal zusammen mit Julia van Holt! 🎙️ Wir sprechen über unsere gemeinsame Gründung Firemetrics und darüber, wie wir Krankenhaus- und Praxisdaten in Echtzeit nutzbar machen. Die Zeiten der Strichlisten sind vorbei! 📊✨  

🎧 Hört rein auf Spotify & Co.:  

🔗 Podcast anhören  

Mehr zu Firemetrics und KI in der Medizin findet ihr hier:  

🔗 Firemetrics   🔗 MedMile KI-Zertifikat



2025-02-06

1. Platz CL4Health @ NAACL 2025 Shared Tasks

Tabea Pakull, Hendrik Damm und Henning Schäfer aus unserem DFG-geförderten Graduiertenkolleg WisPerMed (RTG2535 ) haben die nächste Challenge gewonnen. Dieses Mal sind sie beim CL4Health Shared Tasks auf dem 1. Platz gelandet. Ihr seid echt Rockstars. Bin total stolz!



2025-02-04

HealthSage AI Advisory Board

Ich freue mich sehr, Teil des neuen HealthSage AI Clinical and Safety Advisory Board zu sein! Gemeinsam mit Jan Kimpen, Kate Lancaster und Folkert Asselbergs werde ich dazu beitragen, die klinische Strategie von HealthSage AI für innovative KI-Lösungen mitzugestalten – immer mit einem klaren Fokus auf Sicherheit und verantwortungsvolle Anwendung in der Medizin.

Spannende Zeiten für die Zukunft der KI im Gesundheitswesen!



2025-01-03

DIGITAL AWARD Gesundheit „Künstliche Intelligenz in der Versorgung“

Am 3. April 2025 wird der DIGITAL AWARD Gesundheit zum dritten Mal verliehen. Fokus in diesem Jahr: „Künstliche Intelligenz in der Versorgung“. Ausgezeichnet werden innovative KI-Projekte und -lösungen aus Kliniken sowie der nicht-stationären ärztlichen und pflegerischen Versorgung. Ich bin in der Jury. Die Einreichungsfrist endet am 31. Januar 2025. Jetzt bewerben.



2025-01-01

HIMSS D-A-CH Committee

Ich freue mich, jetzt ein Ausschussmitglied der HIMSS D-A-CH Community zu sein.



2024-12-18

Embracing generative AI: A necessary evolution in professional writing

Als einer der Gründungsherausgeber unserer neuen Zeitschrift European Journal of Radiology Artificial Intelligence habe ich meine Meinung zum Einsatz von GenAI bei der Erstellung wissenschaftlicher Manuskripte veröffentlicht.



Submissions welcome!

2024-12-10

DELL Technologies Forum München

Am 10.12.2024 habe ich beim DELL Technologies Forum in München etwas über die Entwicklung, den Einsatz und natürlich den Betrieb von KI Modellen bei uns am Universitätsklinikum Essen berichtet. Es war eine richtig gute Veranstaltung. Vielen Dank für die Einladung und die super Organisation.



2024-12-09

Firemetrics @ Handelsblatt

Das Handelsblatt hat über Firemetrics, unser Spin-Off zur interoperablen Analyse von Gesundheitsdaten berichtet.

2024-12-09

Durchbruch von KI in der Medizin steht noch aus

Der Tagesspiegel hat über unsere Diskussionen über KI-basierte Systeme im Gesundheitswesen beim Nationalen Digital Health Symposium in Berlin berichtet.

2024-12-06

Nationales Digital Health Symposium 2024

Am 06.12.2024 habe ich beim 6. Nationalen Digital Health Symposium in Berlin etwas über KI in Diagnostik und Behand­lung erzählt. U.a. hier wurde im Nachgang berichtet.



2024-11-26

Hospitals on FHIR User Days

Am 26.11.2024 habe ich bei den Hospitals on FHIR User Days in Brüssel über unsere Erfahrungen mit FHIR am Universitätsklinikum Essen berichtet – von den ersten Datenintegrationsprojekten bis hin zu krankenhausweiten Echtzeit-Analysen auf Basis von FHIR. Weitere Infos gibt es auch in diesem LinkedIn Beitrag.



2024-11-22

Zusatzqualifizierung Künstliche Intelligenz (Q1)

Heute fand wieder der Live-Kurs für die Q1 Zusatzqualifizierung Künstliche Intelligenz der Deutschen Röntgengesellschaft (DRG) statt, den wir von der AG Informationstechnologien (AGIT) organisieren. Es waren 80 Teilnehmer, die total engagiert dabei waren und in den Fragerunden super mit uns diskutiert haben. Richtig gut!

Der nächste Kurz findet am 27.03.2025 statt und ist vermutlich auch wieder schnell ausgebucht. Am Konzept für das Q2 Zertifikat arbeiten wir in der AGIT bereits.

2024-11-15

TheraSphere Summit Düsseldorf

Am 15.11.2024 werde ich beim TheraSphere Summit in Düsseldorf etwas über den praktischen Einsatz von KI in der Klinik erzählen. Ich freue mich schon darauf ein paar alte Bekannte zu treffen.



2024-11-08

aidoc AI Champion

Ich freue mich sehr, dass ich die neue „aidoc AI Champion“-Zertifizierung erhalten habe! Ich bin nun offiziell zertifizierter Experte für die KI-Lösungen von aidoc 🚀



2024-11-06

Handelsblatt How to Future Health?

Am 05. und 06. November 2024 findet die Handelsblatt Jahrestagung How to Future Health? in Berlin statt. Am 06.11.2024 werde ich einen Impuls zu KI im Krankenhaus beitragen. Weitere Infos gibt es hier

2024-11-05

f&w Magazin - Agent Hospital

Ein kleines Interview mit mir zum Thema Agent Hospital in f&w.

2024-10-30

Panel SCOPE Barcelona

Mit einigen anderen Mitgliedern der eSource Scale-Up Task Force des Europäischen Instituts für Innovation durch Gesundheitsdaten (i~HD) haben wir eine Panel Discussion zum Thema Advancing Clinical Trials through Scalable eSource Integration: The eSource Scale Up Task Force beim SCOPE Europe Summit 2024 in Barcelona.

2024-10-16

HealthTech Dialogues Podcast

Gespräch mit Ignacio H. Medrano von savana über Datenzugriff und Interoperabilität im Gesundheitswesen.



2024-09-26

Scobel: Prävention am Ende

Heute zu Gast in dem von mir hoch geschätzten Format Scobel auf 3sat zum Thema Prävention am Ende.

2024-09-25

World's Best Smart Hospitals 2025

Das Universitätsklinikum Essen hat sich im Newsweek Ranking erneut verbessert und befindet sich jetzt auf Platz 16 der weltweit besten Smart Hospitals Mega gut!

2024-09-16

FAZ: Künstliche Intelligenz gegen Kunstfehler

Die FAZ berichtete über KI in unserem Smart Hospital in Essen. Das schönste Zitat:

Mit seinen 44 Jahren ist er hier im Institut schon so etwas wie der Opa unter rund 150 Mitarbeitern [...]

Wer könnte damit bloß gemeint sein? 🤔

2024-09-13

DGTI 2024 Düsseldorf

Am 13. September 2024 werde ich beim DGTI 2024 in Düsseldorf einen einleitenden Vortrag zu KI im Krankenhaus in der Session Digitalisierung und KI halten. Weitere Infos gibt es hier.

2024-09-10

DigIT Pharma Düsseldorf

Am 10. September 2024 habe ich auf der DigIT Pharma & Health 2024 in Düsseldorf einen Vortrag zum Einsatz von KI in der Medizin und der Digitalisierung im Krankenhaus gehalten. Weitere Infos gibt es hier



Und hier noch ein LinkedIn Post von Prof. Stefan Heinemann.

2024-09-05

KI-Modelle sollen Versorgung mit Blutkonserven verbessern

Das Ärzteblatt hat heute über unser Projekt AutoPiLoT zur Deep Learning basierten individuellen Vorhersage des Transfusionsbedarfs berichtet.

2024-09-01

eSource EHR Programme Task Force

Freue mich, jetzt Teil der eSource EHR Programme Task Force zu sein! 🚀 Gemeinsam treiben wir hier Innovationen voran, um klinische Studien durch die Integration von EHR- und EDC-Systemen zu optimieren, Daten-Duplikate zu reduzieren, die Effizienz zu steigern und die Patientensicherheit zu verbessern.

2024-08-31

Editorial: Reproducibility of AI in Radiology

Mathias Dietzel, Daniel Pinto dos Santos und ich haben beim European Journal of Radiology gerade eine Special Edition zum Thema Reproducibility of AI in Radiology an den Start gebracht. Die Hintergründe und Motivation dazu haben wir in einem kleinen Editorial zusammengefasst. Für die nächsten 50 Tage gibt es das auch ohne Paywall https://authors.elsevier.com/a/1jhNu,GNpjzFPY

Submissions welcome!

2024-08-30

Patientensicherheit

Am 29. und 30. Juni 2024 veranstaltet das Aktionsbündnis Patientensicherheit e.V. seine 17. Jahrestagung bei uns in Essen. Ich werde mich am 30.08.2024 mit einem Vortrag zur Rolle von Digitalisierung und KI in Bezug auf Patientensicherheit beteiligen. Weitere Infos gibt es hier

2024-07-16

OMI Interview mit der DRG

Heute ist ein Interview zu unserem Project Open Medical Inference bei der Deutschen Röntgengesellschaft (DRG) veröffentlich worden.

Demokratisierung von KI im Gesundheitswesen

2024-07-01

OMI Meeting in Erlangen

Am 01.07.2024 hatten wir wieder ein persönliches Plenarmeeting aller Beteiligten am Projekt Open Medical Inference der MII. Dieses Mal haben wir uns in Erlangen getroffen. Herzlichen Dank an Ulli Prokosch, Matthias May und Team, die das Meeting perfekt organisiert haben. So sehr ich mich freue, dass wir uns engmaschig virtuell austauschen können, so sehr bin ich auch Verfechter regelmäßiger persönlicher Treffen. Es war mal wieder sehr inspirierend und einfach auch total nett!

2024-06-27

Beilage zum Handelsblatt

Heute ist eine Beilage zum Handelsblatt zum Thema Die Zukunft der Gesundheitsversorgung erschienen. Beitrag von mir zum Thema .. wer hätte es gedacht .. KI.

2024-06-26

Kölner Stadtanzeiger KI in der Medizin

Interview mit dem Kölner Stadtanzeiger.

Während sie uns B****t-Aufgaben abnimmt, konzentrieren wir uns auf das, was Spaß macht

Habe ich das wirklich so gesagt? 🫣 Ja, habe ich wohl. Ist auch so.

2024-06-19

Kurzer Beitrag in WDR markt

Das Team der Sendung markt vom WDR war bei uns im Institut und unser Mission Control Center gefilmt und ein paar Statements eingefangen.

2024-06-17

10xd Podcast

Gespräch mit Prof. Jochen Werner im 10xd Podcast über KI in der Medizin.



2024-06-17

Human Hospital Buchvorstellung

Das Buch Human Hospital von Jochen Werner und Andrea Schmidt-Rumposch haben wir in einer Online Session offiziell vorgestellt.

Mein Beitrag dazu:

ChatGPT, Bard, Claude et al. - Wie Maschinen die Medizin vielleicht wieder menschlicher machen

Human Hospital Digitaler Booklaunch from MWV Berlin on Vimeo.

2024-06-15

Top Young Science Best Paper Award

Mein Doktorand Merlin Engelke wurde mit dem Top Young Science Best Paper Award 2024 geehrt für seine Publikation Optimizing platelet transfusion through a personalized deep learning risk assessment system for demand management im Journal Blood. Super gut.

2024-06-14

"Vortrag zum Thema Daten: Hands-On-Kurs Künstliche Intelligenz"

Wir hatten heute unseren ersten Hands-On-Kurs Künstliche Intelligenz für das Q1 Zertifikat "KI" der Deutschen Röntgengesellschaft (DRG). Nachdem wir jetzt in der AGIT seit über einem Jahr an der Vorbereitung gearbeitet haben, freue ich mich sehr, dass es jetzt endlich losgeht. Ich habe einen Live-Vortrag zum Thema Daten gehalten und damit in das Thema eingeführt.

2024-06-10

c't Magazin - KI in der Medizin: Ein Gespräch über den KI-Einsatz in der Praxis

Ein Interview mit mir über KI in der Medizin im c't Magazin. In der Print Ausgabe war es schon vor ein paar Wochen.

2024-06-06

Smith & Nephew: Smart Hospital

Vortrag beim Innovationsforum von Smith+Nephew über unseren Weg zum Smart Hospital. Das war eine sehr gelungene Veranstaltung in der beeindruckenden Smith+Nephew Academy in München. Ich habe von den anwesenden Kolleginnen und Kollegen aus der Orthopädie in sehr netter Atmosphäre sehr viel über robotergestützte Operationen und das Fach Orthopädie gelernt. Das hat richtig Spaß gemacht.

2024-06-05

Bits&Pretzels health.tech

Ich war als sog. Hosted Buyer zur Bits&Pretzels health.tech in München eingeladen. Ich finde diese 15 min Slots super, zu denen man sich über die App des Events verabreden kann. Durch das strikte Time Boxing kommt man schnell zum Punkt und lernt an einem einzigen Tag sehr viele unterschiedliche Menschen mit spannenden Themen kennen. Ich habe viel Brainfood mitgenommen und außerdem natürlich viele alte und neue Freunde getroffen.

2024-05-24

Human Hospital

Das Buch Human Hospital von Jochen Werner und Andrea Schmidt-Rumposch mit einem Beitrag von mir zum Thema Large-Language-Models im Krankenhaus wird am 04.06.2024 erscheinen.

Mein Beitrag dazu:

ChatGPT, Bard, Claude et al. - Wie Maschinen die Medizin vielleicht wieder menschlicher machen



2024-05-16

Wispermed Symposium

Spannendes Symposium zum Thema Digitale Transformation am 16.05.2024 im Haus der Technik, Hollestraße 1, 45127 Essen.

Hier kostenlos registrieren!

2024-05-13

ZDF WISO - Zukunft der Medizin

Das IKIM ist in einem Beitrag bei ZDF WISO zum Thema Zukunft der Medizin – kann KI heilen? - Chancen und Risiken für die ärztliche Behandlung zu sehen. Ausstrahlung im TV-Programm des ZDF am 13.05.2024 19:25 - 20:15 Uhr oder natürlich in der ZDF Mediathek.



2024-04-25

Health&Law

Vortrag zum praktischen Einsatz von KI im Gesundheitswesen beim Health&Law Netzwerk in Berlin. Das war ein sehr gelungenes Event und ein spannender Austausch zu den rechtlichen und regulatorischen Rahmenbedingungen von KI im Gesundheitswesen.

Hier eine Berichterstattung im Krankenhaus-IT Journal.

2024-04-25

Expertenrunde im Bundestag

Spannende Expertenrunde im Bundestag zum Thema KI im Gesundheitswesen mit Schwerpunkt auf der Entlastung der Fachkräfte, eingeladen und moderiert von MdB Matthias Mieves. apotheke adhoc berichtete.

2024-04-17

AutoPiLoT Pressemitteilung

Unser Logistiksystem AutoPiLoT wurde in einer Pressemitteilung der Deutschen Gesellschaft für Transfusionsmedizin und Immunhämatologie in der Medical Tribune und bei heise genannt.

Der AutoPiLoT leistet bereits heute wertvolle Dienste und entlastet unsere Mitarbeitenden sehr

bilanzierte Prof. Dr. Peter Horn, Direktor des Essener Instituts für Transfusionsmedizin

2024-04-12

heise Podcast: KI-Update

Deep Dive mit - Isabel Grünewald in ihrem Podcast KI-Update bei heise über die Chancen von KI in der Medizin.



2024-04-11

Vortrag RC Hamburg-Harburg

Vortrag zum Thema KI in der Medizin beim Rotary Club Hamburg-Harburg auf Einladung von Prof. Dr. Axel Wetter. Das war eine sehr nette Runde mit guten Diskussionen.

2024-04-09

AI meets Patient Care

Impuls und Panel zum Thema KI in der Arzt- und Patientenkommunikation beim Thieme Abend zur DMEA in der Studio 14 – rbb Dachlounge in Berlin zusammen mit Inga Bergen und Katrin Siems.

2024-04-04

User Defined Function in ksqlDB

I spent way too much time yesterday trying to get a simple UDF running in a ksqlDB container. The problem was that the Confluent image confluentinc/ksqldb-server:latest did not start up completely in about 80% of the cases, but got stuck somewhere with 100% CPU utilization when ksqlDB was started. And when it was running, it always took at least 10% CPU in the IDLE and everything was super unresponsive. Maybe it was due to my setup (docker compose on M2 Mac). In contrast, the image from VMware Broadcom (😭) bitnami/ksql:latest, which was running perfectly, simply did not want to take my UDF from the directory configured with KSQL_KSQL_EXTENSION_DIR: "/opt/ksqldb-udfs". After a thorough review of the logs, I found the solution. The bitnami image seems to ignore the ENV KSQL_KSQL_EXTENSION_DIR but always searches for UDFs in /opt/bitnami/ksql/ext. After I bound the folder with the UDFs to "./my/UDF/ext/:/opt/bitnami/ksql/ext", it worked without any problems.

2024-03-27

f&w: Die Medizin wieder menschlicher machen

Interview in der f&w über KI in der Medizin.

2024-03-23

Softmax for Arbitrary Label Trees (SALT)

Open-source release unseres Medical Image Segmentation Frameworks Softmax for Arbitrary Label Trees (SALT), das extrem schnelle 3D Segmentierung ermöglicht und auf hierarchischen anatomischen Labels basiert, wie sie in der Medizin üblich sind.



2024-03-21

DRG Forum 2024

Impulsvortrag From Bits to Bedside: AI for clinical routine und Panelist in der Session Die unheimliche Magie der neuen Medizinmaschinen beim DRG | FORUM in Berlin.

2024-03-20

GenAI DACH 2024

Panelist und Moderator in der Session Nutzung generativer KI mit Ihrem Datenset und Wissensdatenbanken für große Unternehmen zur Maximierung des Wettbewerbsvorteils und Vortrag GenAI in Healthcare bei der GenAI DACH in Berlin.

2024-03-15

Gesünder und effizienter durch KI?

Radiointerview im WDR 2 zum Thema Gesünder und effizienter durch KI?.

2024-03-15

Tagesschau EU AI Act

Auftritt als Experte für KI in der Medizin in einem Beitrag der Tagesschau zum Beschluss des AI Act im EU-Parlament.

2024-03-13

KI in der Krebsdiagnose und als Symptomchecker

TV Beitrag im WDR zum Thema KI in der Krebsdiagnose.

Wenn sie eine KI haben, die sagt, 'ich hab auch nichts gesehen', dann haben sie einfach eine höhere Sicherheit, dass wirklich nichts passiert ist.

2024-03-13

Mit KI das Gesundheitswesen verbessern

Experten-Runde bei Healthcare-in-Europe mit Simon Rost, Chief Marketing Officer Enterprise Imaging & AI Portfolio bei GE HealthCare, zum Thema Wie kann das deutsche Gesundheitswesen besser werden?

2024-03-05

HUFF / Human-friendly FHIR

Erster Public Commit von HUFF / Human-friendly FHIR einem kleinen Tool/Lib/Chrome Extension zur besseren Darstellung von FHIR Daten.

2024-02-29

Medizinische Disruption | Die nächsten zehn Jahre werden wild - danach wird es verrückt

Impulsvortrag und Panelist in der Session Medizinische Disruption beim ZKNFT 2024 im Funkhaus Berlin.

2024-02-27

KI als Brücke zwischen Mensch und Maschine

Artikel in der f&w über den Wandel der Medizin durch KI.

2024-02-21

Clinical Validation of AI - RAI Summit

Vortrag Real-world Clinical Validation of AI in Radiology beim Radiology AI Summit in München.

2024-02-20

GenAI in Healthcare - Deloitte

Vortrag GenAI in Healthcare beim Data & AI Leaders Forum Munich — Generative AI From Strategy to Value in München.

2024-02-08

Diskussionsteilnehmer bei Markus Lanz

Zu Gast: SPD-Politiker Karl Lauterbach, Journalistin Melanie Amann, Radiologe Felix Nensa und Kinderärztin Tanja Brunnert.

Felix Nensa vom Uniklinikum Essen ist Experte für Künstliche Intelligenz in der Medizin. Über das Potenzial der KI sagt er:

Die nächsten zehn Jahre werden wild – danach wird es verrückt!

Video verfügbar bis 08.02.2026.

2024-02-05

ZDF WISO

"Zwischen der KI und den Patientinnen und Patienten sollten Menschen sein."

Video ca. ab Min. 38.

2024-01-18

From Routine Data to Insights - NUM Convention 2024

Vortrag From Routine Data to Insights und Panelist bei der NUM Convention 2024 im Berlin Congress Center. In der Session Grand Challenge 2 ging es um die Nutzung medizinischer Routinedaten für Forschung und Entwicklung.

2024-01-09

Wie KI Blutkonserven verwaltet

Radiobeitrag im Deutschlandfunk Künstliche Intelligenz in der Klinik: Wie KI Blutkonserven verwaltet

2023-12-23

Jenke Report: Künstliche Intelligenz

Unser Institut im JENKE. REPORT. Künstliche Intelligenz: Viel Hoffnung, viel Gefahr und das ganz große Geld. Hat Spaß gemacht. Jenke und Team sehr sympathisch.

Langfristig wird die KI die Medizin komplett revolutionieren.

Jenke zeigt die deutsche Verzagtheit im Umgang mit Künstlicher Intellligenz

2023-12-13

OMI Vortrag - MII Symposium

Vorstellung der OMI - Open Medical Inference Methodenplattform der Medizininformatik Initiative beim MII Symposium 2023 in Berlin. Das Symposium stand unter dem Thema Gesundheitsdaten nutzen, Forschung stärken, Therapien verbessern.

2023-11-27

Digital Health Platforms

Innovation theater zum Thema Innovation through partnership: bringing together data and insights mit Abu Mirza, SVP, Digital Product & Engineering, GE HealthCare, bei der RSNA in Chicago.

2023-11-21

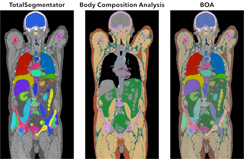
BOA: Publication & Release

Unsere Body and Organ Analysis wurde bei Investigate Radiology publiziert. Der Sourcecode liegt bei GitHub.



2023-11-08

KI macht Medizin wieder menschlicher

Beitrag in gesundheitswirtschaft.at zum Thema KI in der Medizin.

2023-11-08

KI macht Medizin wieder menschlicher

Artikel im CGE Magazin zum Thema KI in der Medizin.

Dokumentation ist in der Medizin lebenswichtig. Aber die menschliche Zeit ist viel zu wertvoll, um sie mit derartig simplen Tätigkeiten zu vergeuden. Das soll kein Mensch machen müssen – kein Arzt, keine Ärztin und kein Pfleger und keine Pflegerin. KI-Tools können das übernehmen – schon heute.

2023-11-03

Machen Maschinen die Medizin wieder menschlicher, Prof. Dr. Nensa?

Podcast mit Björn Brundert und Jens Kögler von VMware, über den Einsatz von KI im Gesundheitswesen.

2023-10-17

Künstliche Intelligenz in Essen

Beitrag in radio essen zum Einsatz von KI an der Universitätsmedizin Essen.

2023-10-07

LLMs in der Medizin

Beitrag zum Thema Wie große Sprachmodelle (LLMs) in der Medizin helfen können - und was sie blockiert in the decoder.

2023-09-28

SAROS Datensatz

Unser SAROS Datensatz wurde bei The Cancer Imaging Archive publiziert.

SAROS - A large, heterogeneous, and sparsely annotated segmentation dataset on CT imaging data

Auch bei GitHub zu finden. Das Paper wurde bei Scientific Data publiziert.



2023-09-20

KI verspricht Hilfe für transplantierte Kinder

„Hermann-Seippel-Preis – Deutscher Forschungspreis für Kinderheilkunde“ geht an Forschergruppe aus Essen, Heidelberg und Berlin.

2023-09-05

ZDF - Volle Kanne

TV Beitrag bei Volle Kanne im ZDF über KI in der Medizin.

2023-09-01

Matrix Salon Podcast

Ein junger Software Entwickler aus meinem Team berichtet über seine Arbeit an einer Library, um Matrix Messaging im Gesundheitswesen einzusetzen. Super gemacht, Kirill!

2023-09-01

MedMile Podcast

Zusammen mit Florian Forsting im MedMile Uncut Podcast über KI in der Medizin.

2023-08-29

Warum die Uniklinik Essen auf KI setzt

Beitrag in der Ärzte Zeitung. Die Universitätsmedizin Essen entwickelt Anwendungen mit künstlicher Intelligenz, um die Patientenversorgung deutlich zu verbessern. Dabei geht es um mehr als um Effizienzgewinne.

2023-07-28

OMI Kick-Off Meeting

Kick-Off Meeting des Open Medical Inference (OMI) Projektes bei uns in Essen am Institut für KI in der Medizin.

2023-07-06

FHIR-PYrate

Unser Paper "FHIR-PYrate: a data science friendly Python package to query FHIR servers" wurde bei BMC Health Services Research veröffentlicht. Der Sourcecode liegt wie immer bei GitHub.



2023-06-15

Podcast bei Visionäre der Gesundheit

Gespräch mit Inga Bergen in ihrem Podcast Visionäre der Gesundheit über den Nutzen von ChatGPT und wie KI die medizinische Arbeit verändert.

2023-06-01

Digital Health Platforms

Zusammenfassung eines Q&A mit Mathias Goyen, Chief Medical Officer at GE Healthcare, und Jens Dommel, Head of EMEA Public Sector Healthcare at Amazon Web Services (AWS), bei der HIMSS Europe in Helsinki

2023-05-10

Digital Health Cocktail Hour

Panelist bei der Digital Health Cocktail Hour mit Marie Tai (Possible Ventures), Thomas Hagemeijer (TLGG Consulting), Jonas Kulessa (LabTwin) und Keno Bressem (Charité) auf dem Merantix AI Campus in Berlin.

2023-04-19

KI(4)SS Förderung

Unser Projekt KI(4)SS wird vom Wirtschafts- und Klimaschutzministerium NRW (MWIKE) über den Landeswettbewerb ZukunftBIO.NRW gefördert 🎉

2023-04-11

XAI in Radiology

Für eine erfolgreiche Implementierung von KI in der klinischen Radiologie müssen wir als Radiologen jedenfalls grundsätzlich verstehen, wie die KI zu ihren Schlussfolgerungen kommt. Andernfalls wird die Interaktion zwischen Mensch und Maschine und die Überwachung der Maschine durch uns Menschen nicht funktionieren. Und dazu benötigen wir eXplainable AI

2023-03-09

Fortbildung im Forum (FiF)

Vortrag zum Thema Digitale Transformation durch KI: wo stehen wir heute? bei der Rheinisch-Westfälischen Röntgengesellschaft e. V.

2023-03-06

Future of Healthcare

Panelist zum Thema Future of Healthcare beim ECR in Wien mit Rob Walton, President & CEO, GE Healthcare EMEA, der wunderbaren Evis Sala, Director, Advanced Radiodiagnostics Centre, Fondazione Policlinico Universitario Agostino Gemelli IRCCS, Alessandro Roncacci, Chief Medical Officer, Affidea und Ben Newton, Head of Oncology Solutions, GE Healthcare.

2023-02-14

Erste IKIM Promotion

Die erste offizielle Promotion am IKIM hat mein Doktorand Dr. Sven Koitka zum Thema Vollautomatische Knochenalterbestimmung auf pädiatrischen Röntgenbildern nach Vorbild der radiologischen Vorgehensweise am 14.02.2023 abgelegt. Wohlverdiente Note: summa cum laude

2022-11-29

The Woz

Völlig unerwartet habe ich bei einem Kundenevent von GE HealthCare in Chicago, bei dem ich auf einem Panel etwas über die digitale Transformation an der Universitätsmedizin berichtet habe, einen meiner Helden - Steve "The Woz" Wozniak - getroffen, der dort ebenfalls auf der Bühne war und natürlich viel spannendere Dinge aus seinem bewegten Leben berichten konnte. Abgesehen davon, dass wir ihm im Grunde die Existenz von PCs und viele andere Dinge zu verdanken haben, ist er auch unglaublich sympathisch. Es war ein absolutes Highlight!

.. ok und die Event Location Venue SIX10 und die Organisation waren auch super gut.



2022-11-08

VMware Explore Europe 2022

Panelist bei der VMware Explore zum Thema Tech4Good in Barcelona.

Das Gesundheitswesen hinkt bei technologischen Fortschritten im Vergleich zu anderen Branchen hinterher

Videointerview nach dem Panel.

2022-10-28

AI for Planetary Challenges in the Anthropocene

Vortrag zum Thema AI in Healthcare beim 3rd Japanese-German-French AI Symposium - AI for Planetary Challenges in the Anthropocene - in Tokio. Es war grandios. Ich habe viel gelernt.



2022-08-25

Zukunft von KI in der Medizin

Keynote A radiologist’s guesstimate on the future of
AI in Medicine
beim SmartHospital.NRW Summit im Bonner Universitätsclub.

2022-08-17

Zukunft von KI in der Medizin

Keynote Wie Digitalisierung und KI die Medizin der Zukunft prägen beim Nachwuchs-Workshop des Zentrums für Künstliche Intelligenz Lübeck in Lübeck.

2022-08-08

KI in der Radiologie

Vortrag KI in der Radiologie beim Health-IT Talk Berlin-Brandenburg.

2022-07-07

Interview RWW

Interview im Radiologen WirtschaftsForum.

Wenn wir für die Patienten das Maximum wollen, müssen wir die Daten aller Fächer betrachten!

2022-06-16

ZDF - plan b

TV Beitrag bei plan b im ZDF mit dem Titel Dr. Future - Wenn Computer heilen helfen.

2022-06-10

Smart Hospital Tech Boosts Efficiency and Sustainability

Beitrag im NVIDIA Blog über unsere Arbeit.



2022-04-11

Digital Health Platforms

Stage Dialog zum Thema Digital Health Platform mit Amit Phadnis, Chief Digital Officer - GE Healthcare, bei der HIMSS in Orlando.



2022-02-17

Interview GE Healthcare

Interview mit GE Healthcare zum Thema KI in der Radiologie.

Viele repetitive Aufgaben werden zunehmend mithilfe von künstlicher Intelligenz einfacher. So können Potenziale im Gesundheitswesen ausgeschöpft werden und die Menschen sich wieder mehr auf das konzentrieren, was sie besonders gut können.

2021-11-26

Digitalisierung in der Rheumatologie

Vortrag zum Thema KI in der Radiologie bei Rheum@digital.

2021-04-14

NVIDIA GTC Talk: From Bits to Bedside

Jens Kleesiek und ich haben einen Vortrag bei der GTC 2021 gehalten und über die Möglichkeiten von KI in der Medizin gesprochen.



2021-04-01

KI in der medizinischen Ausbildung

Interview mit Jenny Brandt über KI in der medizinischen Ausbildung im Hochschulforum Digitalisierung.

Die Diagnose ist das Fundament in der Medizin, auf dem alles steht. Die Diagnose muss gut und möglichst präzise sein. Wir bekommen immer mehr Daten in der Medizin über unsere PatientInnen, aber wir schaffen es nicht, diese vernünftig zusammen zu bringen und die korrekten Schlüsse daraus zu ziehen.

2020-05-29

KI in der COVID Pandemie

Interview mit das Krankenhaus u.a. zum Thema KI in der COVID Pandemie. KI wird uns in der Pandemie nicht helfen. Sicher nicht! ...Aber das will aktuell keiner hören.

Es gibt einen KI-Hype in Bezug auf die Bildgebung. COVID-19-Infiltrate erkennt man als Radiologe aber binnen Sekunden auf Lungenbildern. Hier macht KI wenig Sinn, allein wegen der klinischen Abläufe: Großflächig eingesetzt ist nicht die Befundung ist das Problem, sondern die Scan-Kapazität. Eine CT-Untersuchung dauert inklusive Lagerung, Planung und so weiter circa 10 Minuten und nach jedem Scan eines SarsCoV2-Verdachtsfalles muss das Gerät desinfiziert und für eine Stunde geschlossen werden. Wir sind also durch Logistik und Geräteverfügbarkeit limitiert und nicht durch die Befundungskapazität bei den Radiologen. Also kann KI das Problem auch nicht für uns lösen.

2019-01-18

Thieme Management Award 2018

Auszeichnung mit dem „Thieme Management Award 2018“ in der Kategorie „Senkrechtstarter“.